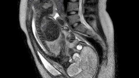
Se han filmado partos y algunos padres los han visto, pero por primera vez en la historia ha podido contemplarse en La Charité de Berlín el desarrollo y consumación de un parto desde dentro, a través de una resonancia magnética (MRT) abierta y retransmitida en varios monitores.
"Ha sido un parto de cuento", ha explicado el ginecólogo jefe Ernst Beinder. "Hemos podido contemplar con exactitud todos los detalles de un proceso que antes sólo podíamos conocer por la prospección táctil" y el diagnóstico basado en la experiencia a ciegas sobre el desarrollo de lo que sucede dentro de la matriz.
Un equipo combinado de médicos de obstetricia y radiología, de la histórica clínica universitaria de Berlín, ha grabado en su totalidad el alumbramiento, dejando abierta la sofisticada máquina de resonancias a fin de que la madre pudiera moverse con libertad durante el parto.
"Las imágenes son reamente fascinantes y vienen a probar una vez más que cada alumbramiento es todo un pequeño milagro", ha dicho Beinder a los medios. En las imágenes ya adelantadas, todo el movimiento en el útero de la madre es claramente visible, como así la dilatación progresiva de la pelvis.
No entraña riesgos
Una resonancia, a diferencia de las radiografías, no entraña ningún peligro ni para la mujer ni para el niño. Sin embargo, la máquina fue apagada al romperse el saco amniótico para no dañar el oído del bebé.
Durante el experimental parto, al que se han ofrecido otras madres y cinco de cuyos nacimientos serán grabados, las mujeres llevan también protectores para los oídos. La clínica les ofrece una pequeña "compensación económica, en un rango de tres cifras", por el servicio prestado a la ciencia.
La Charité ha empleado para el experimento una MRT que se abre como un sandwich, a diferencia de las habituales en forma de tubo. De este modo los ginecólogos y matronas han podido ayudar a la madre en todo momento. El proyecto pionero ha estado dirigido por los doctores Felix Güttler y Ulf Teichgräber.
Los médicos de la prestigiosa clínica, que cumple 300 años, esperan que con esta investigación médicos de todo el mundo podrán identificar y valorar con anticipación las fases críticas durante el parto, a fin de poder intervenir con premura.






Tve 1:
Tve 2:
Antena 3:
Cuatro:
Telecinco:
La Sexta:
La 10:
Canal Sur:
Canal 2 Andalucía:
ETB 1:
ETB 2:
TPA:
Nou:
Canal Extremadura TV:
7RM:
